3rrend Logo
    • Uitgebreid zoeken
  • Gast
    • Inloggen
    • Registereren
    • Nachtstand
Dr Deepti Mittal Cover Image
User Image
Sleep naar de juiste positie
Dr Deepti Mittal Profile Picture
Dr Deepti Mittal
  • Tijdlijn
  • Groepen
  • Respects
  • Volgend
  • Volgers
  • Foto's
  • Video's
Dr Deepti Mittal profile picture
Dr Deepti Mittal
2 w

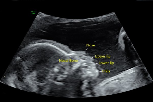
Absent Nasal Bone Treatment in Pune | Best Fetal Medicine Specialist – Dr. Deepti Mittal

Looking for reliable Absent Nasal Bone Treatment in Pune? Consult Fetal Medicine Specialist Dr. Deepti Mittal, known for her expertise in early fetal screening and accurate diagnosis. She provides advanced evaluation for absent or hypoplastic nasal bone, NT scan abnormalities, chromosomal risk assessment, and counselling on NIPT, targeted scans, and follow-up care. Trusted by expecting parents in Kharadi, Pune, she ensures timely testing, clear explanation of risks, and personalised pregnancy care.

https://www.fetalcareexpert.com/abs

Absent Nasal Bone Treatment in Pune | Dr. Deepti Mittal
www.fetalcareexpert.com

Absent Nasal Bone Treatment in Pune | Dr. Deepti Mittal

Get expert Absent Nasal Bone Treatment in Pune with Dr. Deepti Mittal, leading fetal medicine specialist in Kharadi. Trusted for advanced fetal scans, chromosomal abnormality screening, genetic counselling, and expert evaluation for what happens if t
Respect!
Kommentar
Delen
Dr Deepti Mittal profile picture
Dr Deepti Mittal
2 w

Nt Scan in Pune | Nt Scan Specialist in Pune - Dr. Deepti Mittal

If you are in your first trimester and your obstetrician has advised an NT Scan in Pune, you’re taking a proactive and important step for your baby’s health. Dr. Deepti Mittal, Nt Scan Specialist in Pune, expectant parents receive expert supervision, clear explanations, and compassionate support through this early screening. Whether you searched “NT scan near me,” or “Best NT Scan doctors in Pune,” you’ve come to a Dr. Deepti Mittal fetal medicine consultation in Pune.

https://www.fetalcareexpert.com/nt-scan-in-pune/

NT Scan in Pune | Best NT Scan Doctors in Pune – Dr. Deepti Mittal
www.fetalcareexpert.com

NT Scan in Pune | Best NT Scan Doctors in Pune – Dr. Deepti Mittal

Looking for an NT Scan in Pune or NT Scan near you in Pune? Consult Dr. Deepti Mittal, one of the Best NT Scan Doctors in Pune. Get accurate Nuchal Translucency (NT) Scan in Pune with personalized care and advanced technology. Affordable NT Scan in K
Respect!
Kommentar
Delen
Dr Deepti Mittal profile picture
Dr Deepti Mittal
2 w

Growth Scan in Pune | Best Growth Scan Doctors - Dr Deepti Mittal

If you’re looking for a trusted growth scan in Pune, you’ve landed in the right place. At our dedicated fetal medicine clinic, we offer advanced pregnancy growth scan in Pune services to monitor your baby’s development, ensure healthy fetal well-being and provide reassurance in every stage of pregnancy. Led by Dr. Deepti Mittal, a highly qualified Fetal Medicine Specialist in Pune with over 12 years of experience, our centre combines cutting-edge technology with personalised care.

https://www.fetalcareexpert.co....m/growth-scan-in-pun

Growth Scan in Pune | Best Fetal Growth & Well-Being Scan in Pune | Dr. Deepti Mittal
www.fetalcareexpert.com

Growth Scan in Pune | Best Fetal Growth & Well-Being Scan in Pune | Dr. Deepti Mittal

Looking for the best Growth Scan in Pune? Dr. Deepti Mittal, expert in fetal growth and well-being scans, offers accurate ultrasound growth scan in Pune with affordable pricing and expert care for healthy pregnancies.
Respect!
Kommentar
Delen
Dr Deepti Mittal profile picture
Dr Deepti Mittal Veranderde haar profiel deksel
2 w

image
Respect!
Kommentar
Delen
Dr Deepti Mittal profile picture
Dr Deepti Mittal Heeft haar profielfoto gewijzigd
2 w

image
Respect!
Kommentar
Delen
 Laad meer berichten
    info
  • 6 posts
  • https://www.fetalcareexpert.com/

  • Vrouw
  • 12/08/00
  • Werken bij Motherhood Hospital
  • Gestudeerd aan Pune

  • Leven in India
  • Gelegen in Dr. Deepti Mittal - High-Risk Pregnancy Specialist | Gynecologist | Fetal Medicine Specialist | NT,
  • Sociale Links
About

Dr. Deepti Mittal is one of the best and most experienced Fetal Medicine Specialists in Pune having more than 12+ years of experience in fetal care management.

    Albums 
    (0)
    Volgend 
    (0)
    Volgers 
    (0)
    Respects 
    (0)
    Groepen 
    (0)

© 2025 3rrend

Language

  • About
  • Directory
  • blog
  • Contact Us
  • Developers
  • Meer
    • Privacy Policy
    • Terms of Use
    • Vraag een terugbetaling

Unfriend

Weet je zeker dat je wilt ontvrienden?

Rapporteer deze gebruiker

Belangrijk!

Weet u zeker dat u dit lid van uw familie wilt verwijderen?

Je hebt geplooid Drdeeptimittal

Nieuw lid is succesvol toegevoegd aan je familielijst!

Snijd je avatar bij

avatar

© 2025 3rrend

  • Home
  • About
  • Contact Us
  • Privacy Policy
  • Terms of Use
  • Vraag een terugbetaling
  • blog
  • Developers
  • Language

© 2025 3rrend

  • Home
  • About
  • Contact Us
  • Privacy Policy
  • Terms of Use
  • Vraag een terugbetaling
  • blog
  • Developers
  • Language

Reactie succesvol gerapporteerd.

Post is succesvol toegevoegd aan je tijdlijn!

U heeft uw limiet van 5000 vrienden bereikt!

Bestandsgrootte fout: Het bestand overschrijdt de limiet toegestaan ​​(11 MB) en kan niet worden geüpload.

Je video wordt verwerkt, we laten je weten wanneer het klaar is om te bekijken.

Kan een bestand niet uploaden: dit bestandstype wordt niet ondersteund.

We hebben een aantal inhoud voor volwassenen gevonden in de afbeelding die je hebt geüpload. Daarom hebben we je uploadproces geweigerd.

Deel bericht over een groep

Deel naar een pagina

Deel met gebruiker

Je bericht is verzonden. We zullen je inhoud binnenkort beoordelen.

Om afbeeldingen, videos en audiobestanden te uploaden, moet je upgraden naar pro-lid. Upgraden naar Pro

Aanbieding bewerken

0%

Voeg tier toe








Selecteer een afbeelding
Verwijder je tier
Weet je zeker dat je deze tier wilt verwijderen?

beoordelingen

Betaal per portemonnee

Verwijder uw adres

Weet je zeker dat je dit adres wilt verwijderen?

Verwijder uw pakket voor het genereren van inkomsten

Weet u zeker dat u dit pakket wilt verwijderen?

Uitschrijven

Weet u zeker dat u zich wilt afmelden voor deze gebruiker? Houd er rekening mee dat u geen van hun inhoud waarmee inkomsten worden gegenereerd, kunt bekijken.

Verwijder uw pakket voor het genereren van inkomsten

Weet u zeker dat u dit pakket wilt verwijderen?

Betalingswaarschuwing

Je staat op het punt om de items te kopen, wil je doorgaan?
Vraag een terugbetaling

Language

  • Arabic
  • Bengali
  • Chinese
  • Croatian
  • Danish
  • Dutch
  • English
  • Filipino
  • French
  • German
  • Hebrew
  • Hindi
  • Indonesian
  • Italian
  • Japanese
  • Korean
  • Persian
  • Portuguese
  • Russian
  • Spanish
  • Swedish
  • Turkish
  • Urdu
  • Vietnamese